Skip to main content
  • January 2025

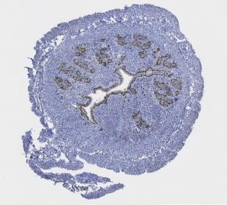
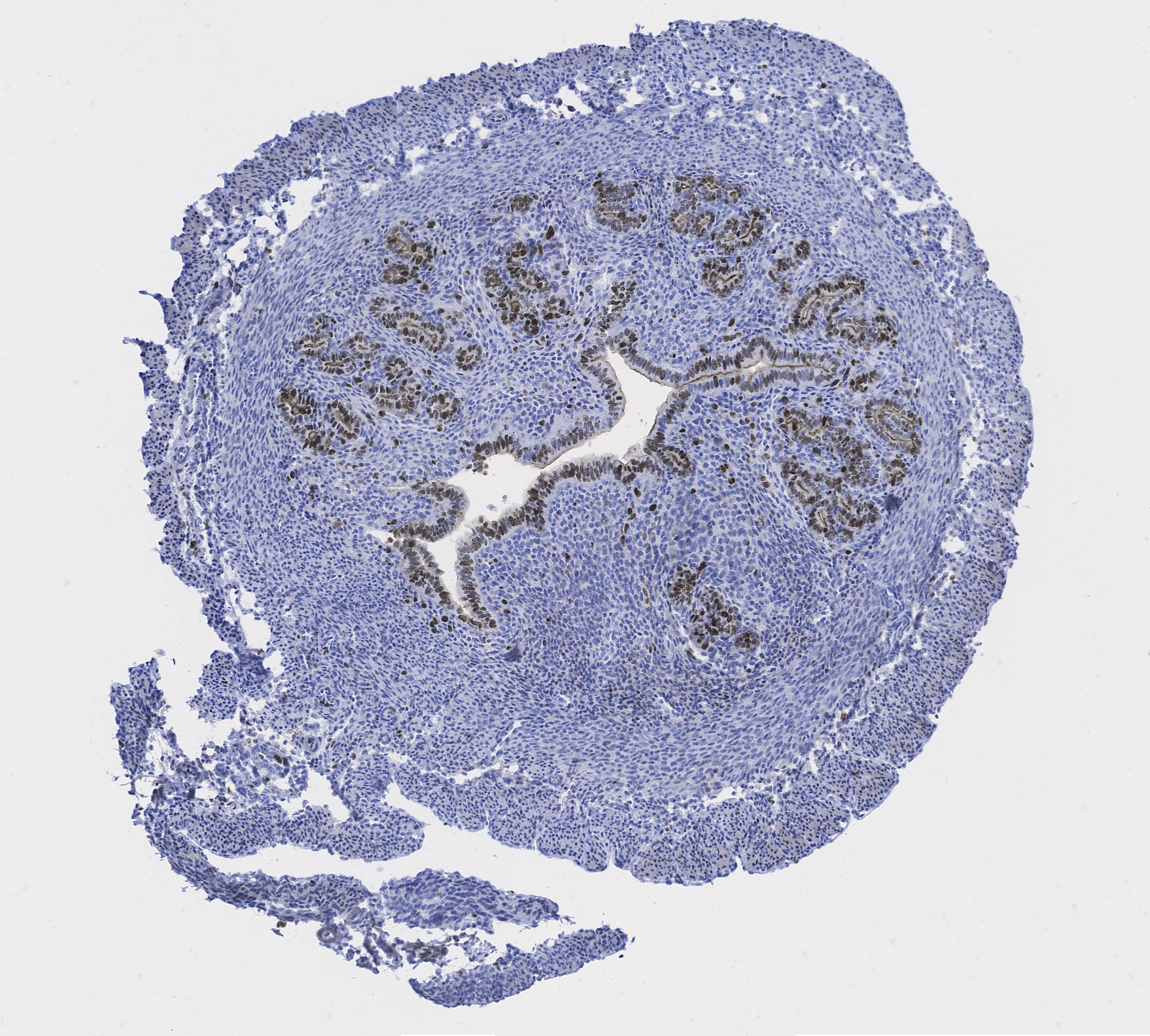
    “The tissue is from a mouse uterus that was stained with a Ki-67 antibody. Ki-67 is a nuclear antigen that is expressed in cells that are in G1, S, G2, and mitosis, but not G0 marking the process of cell proliferation.”

     

    Author: Adriana Andrus - Romana Nowak Lab