Skip to main content
  • April 2025

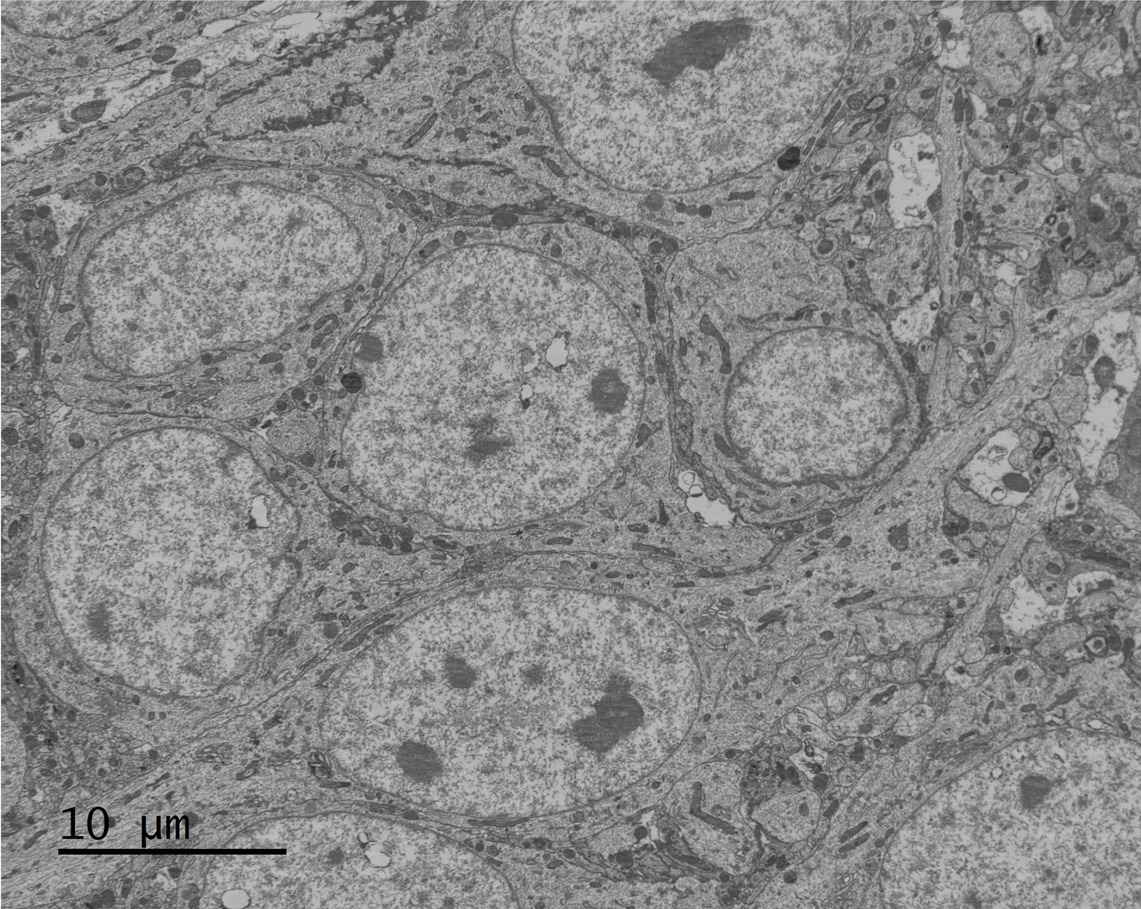
    "This SBF-SEM image displays the cell body of a CA1 pyramidal neuron in the hippocampus. Our study aims to investigate mitochondrial morphology and complexity in the mouse hippocampal neurons."

     

    Image taken on Zeiss Sigma VP SBF-SEM 

     

    Authors:  Kingsley Boateng (IGB Core) and Vipendra Kumar (Nien-Pei Tsai’s

    Lab).